ARG44365
anti-ZNF324 antibody
anti-ZNF324 antibody for ICC/IF,IHC-Formalin-fixed paraffin-embedded sections and Mouse,Rat
Overview
| Product Description | Rabbit Polyclonal antibody recognizes ZNF324 |
|---|---|
| Tested Reactivity | Ms, Rat |
| Tested Application | ICC/IF, IHC-P |
| Host | Rabbit |
| Clonality | Polyclonal |
| Isotype | IgG |
| Target Name | ZNF324 |
| Antigen Species | Human |
| Immunogen | Human ZNF324 recombinant protein (a.a. sequence: 271-553). |
| Conjugation | Un-conjugated |
| Alternate Names | ZNF324; Zinc Finger Protein 324; ZNF324A; ZF5128; Zinc Finger Protein ZF5128; Zinc Finger Protein 324A |
Application Instructions
| Application Suggestion |
|
||||||
|---|---|---|---|---|---|---|---|
| Application Note | * The dilutions indicate recommended starting dilutions and the optimal dilutions or concentrations should be determined by the scientist. |
Properties
| Form | Liquid |
|---|---|
| Purification | Affinity purified. |
| Buffer | PBS, 0.05% Proclin300 and 50% Glycerol. |
| Preservative | 0.05% Proclin300 |
| Stabilizer | 50% Glycerol |
| Storage Instruction | For continuous use, store undiluted antibody at 2-8°C for up to a week. For long-term storage, aliquot and store at -20°C. Storage in frost free freezers is not recommended. Avoid repeated freeze/thaw cycles. Suggest spin the vial prior to opening. The antibody solution should be gently mixed before use. |
| Note | For laboratory research only, not for drug, diagnostic or other use. |
Bioinformation
| Gene Symbol | ZNF324 |
|---|---|
| Gene Full Name | Zinc Finger Protein 324 |
| Background | Predicted to enable DNA-binding transcription factor activity, RNA polymerase II-specific and RNA polymerase II cis-regulatory region sequence-specific DNA binding activity. Acts upstream of or within with a positive effect on G1/S transition of mitotic cell cycle and cell population proliferation. Predicted to be active in nucleus. |
| Function | May be involved in transcriptional regulation. May be involved in regulation of cell proliferation. |
| Cellular Localization | Nucleus |
| Calculated MW | 61 kDa |
Images (3) Click the Picture to Zoom In
-
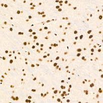
ARG44365 anti-ZNF324 antibody IHC-P image
Immunohistochemistry: Rat brain stained with ARG44365 anti-ZNF324 antibody at 1:100 dilution.
-
ARG44365 anti-ZNF324 antibody IHC-P image
Immunohistochemistry: Mouse brain stained with ARG44365 anti-ZNF324 antibody at 1:100 dilution.
-
ARG44365 anti-ZNF324 antibody ICC/IF image
Immunofluorescence: NIH/3T3 stained with ARG44365 anti-ZNF324 antibody at 1:50 dilution.
