ARG59325
anti-ZWINT antibody
anti-ZWINT antibody for IHC-Formalin-fixed paraffin-embedded sections,Western blot and Mouse,Rat
Overview
| Product Description | Rabbit Polyclonal antibody recognizes ZWINT |
|---|---|
| Tested Reactivity | Ms, Rat |
| Predict Reactivity | Hu |
| Tested Application | IHC-P, WB |
| Host | Rabbit |
| Clonality | Polyclonal |
| Isotype | IgG |
| Target Name | ZWINT |
| Antigen Species | Human |
| Immunogen | Recombinant protein corresponding to Q29-Q249 of Human ZWINT. |
| Conjugation | Un-conjugated |
| Alternate Names | ZW10 interactor; KNTC2AP; SIP30; Zwint-1; ZW10-interacting protein 1; ZWINT1; HZwint-1 |
Application Instructions
| Application Suggestion |
|
||||||
|---|---|---|---|---|---|---|---|
| Application Note | IHC-P: Antigen Retrieval: By heat mediation. * The dilutions indicate recommended starting dilutions and the optimal dilutions or concentrations should be determined by the scientist. |
Properties
| Form | Liquid |
|---|---|
| Purification | Affinity purification with immunogen. |
| Buffer | 0.9% NaCl, 0.2% Na2HPO4, 0.05% Sodium azide and 5% BSA. |
| Preservative | 0.05% Sodium azide |
| Stabilizer | 5% BSA |
| Concentration | 0.5 mg/ml |
| Storage Instruction | For continuous use, store undiluted antibody at 2-8°C for up to a week. For long-term storage, aliquot and store at -20°C or below. Storage in frost free freezers is not recommended. Avoid repeated freeze/thaw cycles. Suggest spin the vial prior to opening. The antibody solution should be gently mixed before use. |
| Note | For laboratory research only, not for drug, diagnostic or other use. |
Bioinformation
| Database Links | |
|---|---|
| Gene Symbol | ZWINT |
| Gene Full Name | ZW10 interacting kinetochore protein |
| Background | This gene encodes a protein that is clearly involved in kinetochore function although an exact role is not known. It interacts with ZW10, another kinetochore protein, possibly regulating the association between ZW10 and kinetochores. The encoded protein localizes to prophase kinetochores before ZW10 does and it remains detectable on the kinetochore until late anaphase. It has a uniform distribution in the cytoplasm of interphase cells. Alternatively spliced transcript variants encoding different isoforms have been found for this gene. [provided by RefSeq, Jul 2008] |
| Function | Part of the MIS12 complex, which is required for kinetochore formation and spindle checkpoint activity. Required to target ZW10 to the kinetochore at prometaphase. [UniProt] |
| Cellular Localization | Nucleus. Chromosome, centromere, kinetochore. Note=Localizes to kinetochores from late prophase to anaphase. [UniProt] |
| Calculated MW | 31 kDa |
Images (3) Click the Picture to Zoom In
-
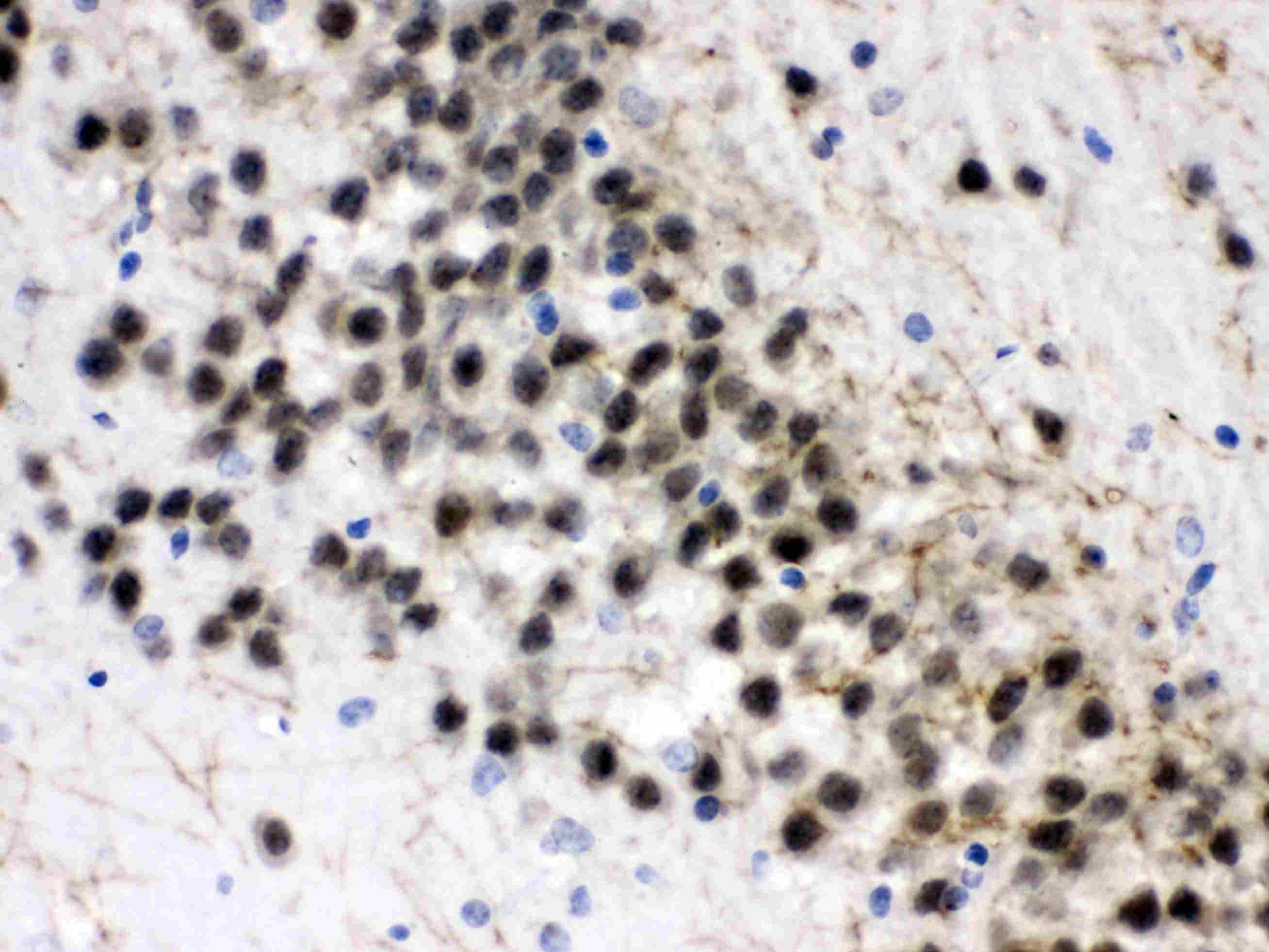
ARG59325 anti-ZWINT antibody IHC-P image
Immunohistochemistry: Paraffin-embedded Mouse brain stained with ARG59325 anti-ZWINT antibody at 1 µg/ml dilution.
-
ARG59325 anti-ZWINT antibody WB image
Western blot: Rat skeletal muscle stained with ARG59325 anti-ZWINT antibody at 0.5 µg/ml dilution.
-
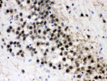
ARG59325 anti-ZWINT antibody IHC-P image
Immunohistochemistry: Paraffin-embedded Rat brain stained with ARG59325 anti-ZWINT antibody at 1 µg/ml dilution.
