ARG59459
anti-alpha Parvin antibody
anti-alpha Parvin antibody for IHC-Formalin-fixed paraffin-embedded sections,Western blot and Human,Mouse,Rat
Overview
| Product Description | Rabbit Polyclonal antibody recognizes alpha Parvin |
|---|---|
| Tested Reactivity | Hu, Ms, Rat |
| Predict Reactivity | Hm |
| Tested Application | IHC-P, WB |
| Host | Rabbit |
| Clonality | Polyclonal |
| Isotype | IgG |
| Target Name | alpha Parvin |
| Antigen Species | Human |
| Immunogen | Synthetic peptide corresponding to aa. 155-185 of Human alpha Parvin. (QKLQTVLEKINETLKLPPRSIKWNVDSVHAK) |
| Conjugation | Un-conjugated |
| Alternate Names | Calponin-like integrin-linked kinase-binding protein; Actopaxin; Alpha-parvin; CH-ILKBP; MXRA2; Matrix-remodeling-associated protein 2 |
Application Instructions
| Application Suggestion |
|
||||||
|---|---|---|---|---|---|---|---|
| Application Note | IHC-P: Antigen Retrieval: By heat mediation. * The dilutions indicate recommended starting dilutions and the optimal dilutions or concentrations should be determined by the scientist. |
Properties
| Form | Liquid |
|---|---|
| Purification | Affinity purification with immunogen. |
| Buffer | 0.9% NaCl, 0.2% Na2HPO4, 0.05% Sodium azide and 5% BSA. |
| Preservative | 0.05% Sodium azide |
| Stabilizer | 5% BSA |
| Concentration | 0.5 mg/ml |
| Storage Instruction | For continuous use, store undiluted antibody at 2-8°C for up to a week. For long-term storage, aliquot and store at -20°C or below. Storage in frost free freezers is not recommended. Avoid repeated freeze/thaw cycles. Suggest spin the vial prior to opening. The antibody solution should be gently mixed before use. |
| Note | For laboratory research only, not for drug, diagnostic or other use. |
Bioinformation
| Database Links | |
|---|---|
| Gene Symbol | PARVA |
| Gene Full Name | parvin, alpha |
| Background | This gene encodes a member of the parvin family of actin-binding proteins. Parvins are associated with focal contacts and contain calponin homology domains that bind to actin filaments. The encoded protein is part of the integrin-linked kinase signaling complex and plays a role in cell adhesion, motility and survival. [provided by RefSeq, Dec 2010] |
| Function | Plays a role in sarcomere organization and in smooth muscle cell contraction. Required for normal development of the embryonic cardiovascular system, and for normal septation of the heart outflow tract. Plays a role in sprouting angiogenesis and is required for normal adhesion of vascular smooth muscle cells to endothelial cells during blood vessel development (By similarity). Plays a role in the reorganization of the actin cytoskeleton, formation of lamellipodia and ciliogenesis. Plays a role in the establishement of cell polarity, cell adhesion, cell spreading, and directed cell migration. [UniProt] |
| Cellular Localization | Cell junction, focal adhesion. Cell membrane; Peripheral membrane protein; Cytoplasmic side. Cytoplasm, cytoskeleton. Cytoplasm, myofibril, sarcomere, Z line. Note=Constituent of focal adhesions. Associates with the actin cytoskeleton. [UniProt] |
| Calculated MW | 42 kDa |
Images (2) Click the Picture to Zoom In
-
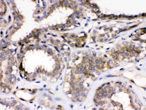
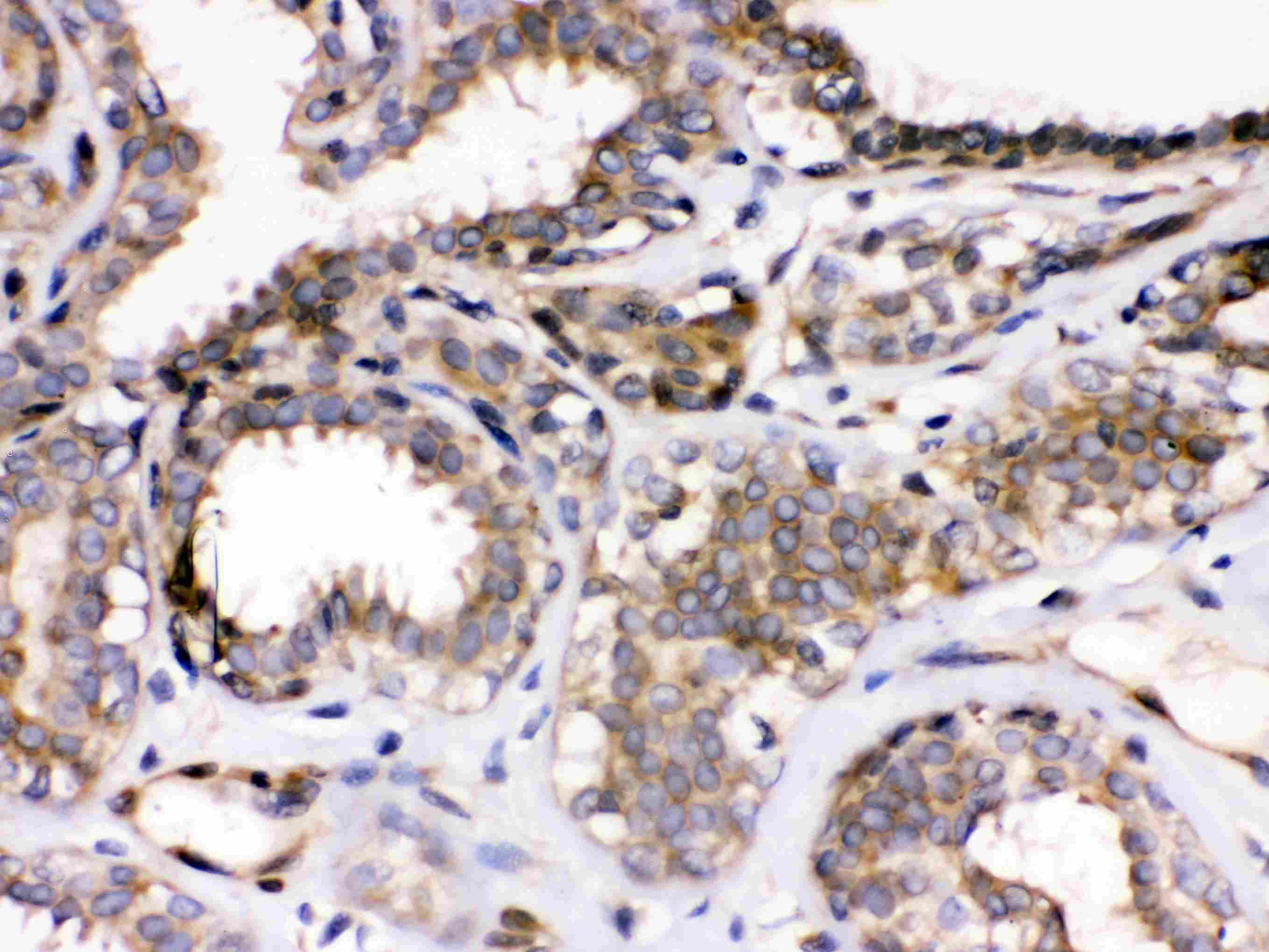
ARG59459 anti-alpha Parvin antibody IHC-P image
Immunohistochemistry: Paraffin-embedded Human mammary cancer stained with ARG59459 anti-alpha Parvin antibody.
-
ARG59459 anti-alpha Parvin antibody WB image
Western blot: 50 µg of Rat liver, 40 µg of HeLa, 40 µg of SW620 and 40 µg of HEPA stained with ARG59459 anti-alpha Parvin antibody at 0.5 µg/ml dilution.
