ARG51760
anti-eIF2 alpha phospho (Ser51) antibody
anti-eIF2 alpha phospho (Ser51) antibody for ICC/IF,IHC-Formalin-fixed paraffin-embedded sections,Western blot and Human,Mouse,Rat
Gene Regulation antibody
Overview
| Product Description | Rabbit Polyclonal antibody recognizes eIF2 alpha phospho (Ser51) |
|---|---|
| Tested Reactivity | Hu, Ms, Rat |
| Tested Application | ICC/IF, IHC-P, WB |
| Host | Rabbit |
| Clonality | Polyclonal |
| Isotype | IgG |
| Target Name | eIF2 alpha |
| Antigen Species | Human |
| Immunogen | Peptide sequence around phosphorylation site of serine 51 (E-L-S(p)-R-R) derived from Human eIF2α. |
| Conjugation | Un-conjugated |
| Alternate Names | eIF-2alpha; EIF-2A; Eukaryotic translation initiation factor 2 subunit 1; EIF2; EIF-2alpha; EIF2A; eIF-2-alpha; Eukaryotic translation initiation factor 2 subunit alpha; eIF-2A; EIF-2 |
Application Instructions
| Application Suggestion |
|
||||||||
|---|---|---|---|---|---|---|---|---|---|
| Application Note | * The dilutions indicate recommended starting dilutions and the optimal dilutions or concentrations should be determined by the scientist. |
Properties
| Form | Liquid |
|---|---|
| Purification | Antibodies were produced by immunizing rabbits with KLH-conjugated synthetic phosphopeptide. Antibodies were purified by affinity-chromatography using epitope-specific phosphopeptide. In addition, non-phospho specific antibodies were removed by chromatogramphy using non-phosphopeptide. |
| Buffer | PBS (without Mg2+ and Ca2+, pH 7.4), 150mM NaCl, 0.02% Sodium azide and 50% Glycerol. |
| Preservative | 0.02% Sodium azide |
| Stabilizer | 50% Glycerol |
| Concentration | 1 mg/ml |
| Storage Instruction | For continuous use, store undiluted antibody at 2-8°C for up to a week. For long-term storage, aliquot and store at -20°C. Storage in frost free freezers is not recommended. Avoid repeated freeze/thaw cycles. Suggest spin the vial prior to opening. The antibody solution should be gently mixed before use. |
| Note | For laboratory research only, not for drug, diagnostic or other use. |
Bioinformation
| Database Links | |
|---|---|
| Gene Symbol | EIF2S1 |
| Gene Full Name | eukaryotic translation initiation factor 2, subunit 1 alpha, 35kDa |
| Background | Functions in the early steps of protein synthesis by forming a ternary complex with GTP and initiator tRNA. This complex binds to a 40S ribosomal subunit, followed by mRNA binding to form a 43S preinitiation complex. Junction of the 60S ribosomal subunit to form the 80S initiation complex is preceded by hydrolysis of the GTP bound to eIF-2 and release of an eIF-2-GDP binary complex. In order for eIF-2 to recycle and catalyze another round of initiation, the GDP bound to eIF-2 must exchange with GTP by way of a reaction catalyzed by eIF-2B. |
| Function | Functions in the early steps of protein synthesis by forming a ternary complex with GTP and initiator tRNA. This complex binds to a 40S ribosomal subunit, followed by mRNA binding to form a 43S preinitiation complex. Junction of the 60S ribosomal subunit to form the 80S initiation complex is preceded by hydrolysis of the GTP bound to eIF-2 and release of an eIF-2-GDP binary complex. In order for eIF-2 to recycle and catalyze another round of initiation, the GDP bound to eIF-2 must exchange with GTP by way of a reaction catalyzed by eIF-2B. [UniProt] |
| Research Area | Gene Regulation antibody |
| Calculated MW | 36 kDa |
| PTM | Substrate for at least 4 kinases: EIF2AK1/HRI, EIF2AK2/PKR, EIF2AK3/PERK and EIF2AK4/GCN2. Phosphorylation stabilizes the eIF-2/GDP/eIF-2B complex and prevents GDP/GTP exchange reaction, thus impairing the recycling of eIF-2 between successive rounds of initiation and leading to global inhibition of translation (PubMed:15207627, PubMed:18032499). Phosphorylated; phosphorylation on Ser-52 by the EIF2AK4/GCN2 protein kinase occurs in response to amino acid starvation and UV irradiation (By similarity). |
Images (4) Click the Picture to Zoom In
-
ARG51760 anti-eIF2 alpha phospho (Ser51) antibody WB image
Western blot: Extracts from Jurkat cells untreated or treated with H2O2 stained with ARG51760 anti-eIF2 alpha phospho (Ser51) antibody.
-
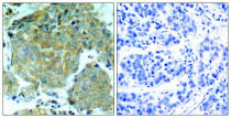
ARG51760 anti-eIF2 alpha phospho (Ser51) antibody IHC-P image
Immunohistochemistry: Paraffin-embedded Human breast carcinoma tissue stained with ARG51760 anti-eIF2 alpha phospho (Ser51) antibody (left) or the same antibody preincubated with blocking peptide (right).
-
ARG51760 anti-eIF2 alpha phospho (Ser51) antibody ICC/IF image
Immunofluorescence: methanol-fixed HeLa cells stained with ARG51760 anti-eIF2 alpha phospho (Ser51) antibody.
-
ARG51760 anti-eIF2 alpha phospho (Ser51) antibody IHC-P image
Immunohistochemistry: Paraffin-embedded Human lung carcinoma tissue, stained with ARG51760 anti-eIF2 alpha phospho (Ser51) antibody.

