ARG66176
anti-eIF4A1 antibody
anti-eIF4A1 antibody for ICC/IF,IHC-Formalin-fixed paraffin-embedded sections,Western blot and Human,Mouse,Rat
Overview
| Product Description | Mouse Monoclonal antibody recognizes eIF4A1 |
|---|---|
| Tested Reactivity | Hu, Ms, Rat |
| Tested Application | ICC/IF, IHC-P, WB |
| Specificity | The antibody detects endogenous eIF4A1 protein. |
| Host | Mouse |
| Clonality | Monoclonal |
| Target Name | eIF4A1 |
| Antigen Species | Human |
| Immunogen | Synthetic peptide of Human eIF4A1. |
| Conjugation | Un-conjugated |
| Alternate Names | ATP-dependent RNA helicase eIF4A-1; EIF4A; Eukaryotic initiation factor 4A-I; EIF-4A; DDX2A; EC 3.6.4.13; eIF4A-I; eIF-4A-I |
Application Instructions
| Application Suggestion |
|
||||||||
|---|---|---|---|---|---|---|---|---|---|
| Application Note | IHC-P: Antigen Retrieval: Boil tissue section in Sodium citrate buffer (pH 6.0) for 20 min. * The dilutions indicate recommended starting dilutions and the optimal dilutions or concentrations should be determined by the scientist. |
Properties
| Form | Liquid |
|---|---|
| Purification | Affinity purification with immunogen. |
| Buffer | PBS (pH 7.4), 0.02% Sodium azide and 50% Glycerol. |
| Preservative | 0.02% Sodium azide |
| Stabilizer | 50% Glycerol |
| Concentration | 1 mg/ml |
| Storage Instruction | For continuous use, store undiluted antibody at 2-8°C for up to a week. For long-term storage, aliquot and store at -20°C. Storage in frost free freezers is not recommended. Avoid repeated freeze/thaw cycles. Suggest spin the vial prior to opening. The antibody solution should be gently mixed before use. |
| Note | For laboratory research only, not for drug, diagnostic or other use. |
Bioinformation
| Database Links | |
|---|---|
| Gene Symbol | EIF4A1 |
| Gene Full Name | eukaryotic translation initiation factor 4A1 |
| Function | ATP-dependent RNA helicase which is a subunit of the eIF4F complex involved in cap recognition and is required for mRNA binding to ribosome. In the current model of translation initiation, eIF4A unwinds RNA secondary structures in the 5'-UTR of mRNAs which is necessary to allow efficient binding of the small ribosomal subunit, and subsequent scanning for the initiator codon. [UniProt] |
| Calculated MW | 46 kDa |
Images (16) Click the Picture to Zoom In
-
ARG66176 anti-eIF4A1 antibody ICC/IF image
Immunofluorescence: HeLa cells stained with ARG66176 anti-eIF4A1 antibody (green).
Left: Target. Middle: DAPI. Right: merge image.
-
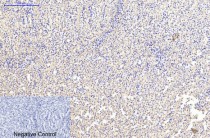
ARG66176 anti-eIF4A1 antibody IHC-P image
Immunohistochemistry: Paraffin-embedded Human colon cancer tissue stained with ARG66176 anti-eIF4A1 antibody at 1:200 dilution (4°C, overnight). Antigen Retrieval: Boil tissue section in Sodium citrate buffer (pH 6.0) for 20 min.
Negative control was used by secondary antibody only.
-
ARG66176 anti-eIF4A1 antibody WB image
Western blot: 1) 293T, 2) HeLa, 3) HepG2, and 4) Mouse brain tissue lysates stained with ARG66176 anti-eIF4A1 antibody.
-
ARG66176 anti-eIF4A1 antibody IHC-P image
Immunohistochemistry: Paraffin-embedded Human liver tissue stained with ARG66176 anti-eIF4A1 antibody at 1:200 dilution (4°C, overnight). Antigen Retrieval: Boil tissue section in Sodium citrate buffer (pH 6.0) for 20 min.
Negative control was used by secondary antibody only.
-
ARG66176 anti-eIF4A1 antibody IHC-P image
Immunohistochemistry: Paraffin-embedded Human liver cancer tissue stained with ARG66176 anti-eIF4A1 antibody at 1:200 dilution (4°C, overnight). Antigen Retrieval: Boil tissue section in Sodium citrate buffer (pH 6.0) for 20 min.
Negative control was used by secondary antibody only.
-
ARG66176 anti-eIF4A1 antibody IHC-P image
Immunohistochemistry: Paraffin-embedded Human stomach cancer tissue stained with ARG66176 anti-eIF4A1 antibody at 1:200 dilution (4°C, overnight). Antigen Retrieval: Boil tissue section in Sodium citrate buffer (pH 6.0) for 20 min.
Negative control was used by secondary antibody only.
-
ARG66176 anti-eIF4A1 antibody IHC-P image
Immunohistochemistry: Paraffin-embedded Rat lung tissue stained with ARG66176 anti-eIF4A1 antibody at 1:200 dilution (4°C, overnight). Antigen Retrieval: Boil tissue section in Sodium citrate buffer (pH 6.0) for 20 min.
Negative control was used by secondary antibody only.
-
ARG66176 anti-eIF4A1 antibody IHC-P image
Immunohistochemistry: Paraffin-embedded Rat spinal-cord tissue stained with ARG66176 anti-eIF4A1 antibody at 1:200 dilution (4°C, overnight). Antigen Retrieval: Boil tissue section in Sodium citrate buffer (pH 6.0) for 20 min.
Negative control was used by secondary antibody only.
-
ARG66176 anti-eIF4A1 antibody IHC-P image
Immunohistochemistry: Paraffin-embedded Rat spleen tissue stained with ARG66176 anti-eIF4A1 antibody at 1:200 dilution (4°C, overnight). Antigen Retrieval: Boil tissue section in Sodium citrate buffer (pH 6.0) for 20 min.
Negative control was used by secondary antibody only.
-
ARG66176 anti-eIF4A1 antibody IHC-P image
Immunohistochemistry: Paraffin-embedded Mouse colon tissue stained with ARG66176 anti-eIF4A1 antibody at 1:200 dilution (4°C, overnight). Antigen Retrieval: Boil tissue section in Sodium citrate buffer (pH 6.0) for 20 min.
Negative control was used by secondary antibody only.
-
ARG66176 anti-eIF4A1 antibody IHC-P image
Immunohistochemistry: Paraffin-embedded Mouse kidney tissue stained with ARG66176 anti-eIF4A1 antibody at 1:200 dilution (4°C, overnight). Antigen Retrieval: Boil tissue section in Sodium citrate buffer (pH 6.0) for 20 min.
Negative control was used by secondary antibody only.
-
ARG66176 anti-eIF4A1 antibody IHC-P image
Immunohistochemistry: Paraffin-embedded Mouse brain tissue stained with ARG66176 anti-eIF4A1 antibody at 1:200 dilution (4°C, overnight). Antigen Retrieval: Boil tissue section in Sodium citrate buffer (pH 6.0) for 20 min.
Negative control was used by secondary antibody only.
-
ARG66176 anti-eIF4A1 antibody IHC image
Immunohistochemistry: Mouse spleen tissue stained with ARG66176 anti-eIF4A1 antibody (red) at 1:200 dilution (4°C, overnight).
Picture A: Target. Picture B: DAPI. Picture C: merge of A+B.
-
ARG66176 anti-eIF4A1 antibody IHC image
Immunohistochemistry: Mouse testis tissue stained with ARG66176 anti-eIF4A1 antibody (red) at 1:200 dilution (4°C, overnight).
Picture A: Target. Picture B: DAPI. Picture C: merge of A+B.
-
ARG66176 anti-eIF4A1 antibody IHC image
Immunohistochemistry: Mouse testis tissue stained with ARG66176 anti-eIF4A1 antibody (red) at 1:200 dilution (4°C, overnight).
Picture A: Target. Picture B: DAPI. Picture C: merge of A+B.
-
ARG66176 anti-eIF4A1 antibody IHC image
Immunohistochemistry: Mouse testis tissue stained with ARG66176 anti-eIF4A1 antibody (red) at 1:200 dilution (4°C, overnight).
Picture A: Target. Picture B: DAPI. Picture C: merge of A+B.
