Search Result - Primary Antibodies

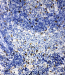
  • anti-Apelin antibody
  • Cat. No: ARG66535  (Rabbit pAb)
  • Reactivity: Hu, Ms, Rat
  • Application: IHC-P, WB
  • Conjugation: Un-conjugated
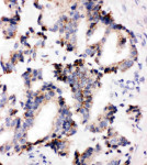
  • anti-SREBP1 antibody
  • Cat. No: ARG40316  (Rabbit pAb)
  • Reactivity: Hu, Ms
  • Application: IHC-P, WB
  • Specificity: This antibody is Human and Mouse reactive. At least three isoforms of SREBP1 are known to exist. This SREBP1 antibody is predicted not to cross-react with SREBP2.
  • Conjugation: Un-conjugated
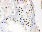
  • anti-IRAK2 antibody
  • Cat. No: ARG40374  (Rabbit pAb)
  • Reactivity: Hu, Rat
  • Application: IHC-P, WB
  • Conjugation: Un-conjugated
  • anti-MIF antibody
  • Cat. No: ARG40481  (Rabbit pAb)
  • Reactivity: Hu
  • Application: ICC/IF, IHC-P, WB
  • Conjugation: Un-conjugated
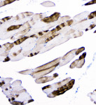
  • anti-MNAT1 antibody
  • Cat. No: ARG40483  (Rabbit pAb)
  • Reactivity: Hu, Ms, Rat
  • Application: IHC-P
  • Conjugation: Un-conjugated
  • anti-MMP19 antibody
  • Cat. No: ARG40471  (Rabbit pAb)
  • Reactivity: Hu
  • Application: FACS, IHC-P, WB
  • Conjugation: Un-conjugated